This post was updated 574 days ago and some of the ideas may be out of date.
腰椎间盘突出大家肯定都不陌生,或多或少都听说过。󠄐󠄹󠅀󠄪󠄢󠄡󠄦󠄞󠄧󠄣󠄞󠄢󠄡󠄦󠄞󠄡󠄡󠄣󠄬󠅒󠅢󠄟󠄮󠄐󠅅󠄹󠄴󠄪󠄾󠅟󠅤󠄐󠄼󠅟󠅗󠅙󠅞󠄬󠅒󠅢󠄟󠄮󠅄󠅙󠅝󠅕󠄪󠄡󠄧󠄦󠄡󠄨󠄦󠄠󠄩󠄨󠄤󠄬󠅒󠅢󠄟󠄮
倦意在医院上班,天天接触的也都是这样的患者,但是这个病以前都是中老年人得的,现在却慢慢和颈椎病一样,年轻化了。没想到年仅25岁的倦意也腰突了!󠄐󠄹󠅀󠄪󠄢󠄡󠄦󠄞󠄧󠄣󠄞󠄢󠄡󠄦󠄞󠄡󠄡󠄣󠄬󠅒󠅢󠄟󠄮󠄐󠅅󠄹󠄴󠄪󠄾󠅟󠅤󠄐󠄼󠅟󠅗󠅙󠅞󠄬󠅒󠅢󠄟󠄮󠅄󠅙󠅝󠅕󠄪󠄡󠄧󠄦󠄡󠄨󠄦󠄠󠄩󠄨󠄤󠄬󠅒󠅢󠄟󠄮
如果没听过这个病,可以看看下列的介绍:󠄐󠄹󠅀󠄪󠄢󠄡󠄦󠄞󠄧󠄣󠄞󠄢󠄡󠄦󠄞󠄡󠄡󠄣󠄬󠅒󠅢󠄟󠄮󠄐󠅅󠄹󠄴󠄪󠄾󠅟󠅤󠄐󠄼󠅟󠅗󠅙󠅞󠄬󠅒󠅢󠄟󠄮󠅄󠅙󠅝󠅕󠄪󠄡󠄧󠄦󠄡󠄨󠄦󠄠󠄩󠄨󠄤󠄬󠅒󠅢󠄟󠄮
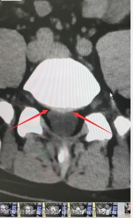
腰椎间盘突出症,也被认为是一种脊柱退行性疾病,是主要引起腰痛和腿痛的常见原因。此疾病的发病原因通常来自腰椎间盘的退变,当纤维环部分或全部断裂时,髓核突出会刺激或压迫神经根,马尾神经,导致疼痛和其他症状。患者通常有长期弯腰劳动或长时间坐立的经历。患病率高的人群包括儿童、青少年、投掷、跳高、跳远等运动员,驾驶员,老年人,孕妇和有家族史的人。
说大白话,弯腰太多,把椎体和椎体之间的椎间盘给挤出来了,如果压迫到神经根,就会引起症状,比如腰痛啊,屁股痛啊,小腿酸胀,严重的还会出现麻木的症状。

很多人觉得在医院上班的医生,就不会得这种病,因为他们都知道保养!
错!大错特错!现在医院的医生工作强度太大了,无时无刻不在弯腰和低头,发病率甚至比其他行政单位天天坐办公室的还高!

再加上倦意在医院里面目前负责中医的推拿,推拿本来就很伤腰,所以这次腰椎间盘突出在我的意料之内。
还好发现的早,目前除了腰酸没有什么其他的症状。󠄐󠄹󠅀󠄪󠄢󠄡󠄦󠄞󠄧󠄣󠄞󠄢󠄡󠄦󠄞󠄡󠄡󠄣󠄬󠅒󠅢󠄟󠄮󠄐󠅅󠄹󠄴󠄪󠄾󠅟󠅤󠄐󠄼󠅟󠅗󠅙󠅞󠄬󠅒󠅢󠄟󠄮󠅄󠅙󠅝󠅕󠄪󠄡󠄧󠄦󠄡󠄨󠄦󠄠󠄩󠄨󠄤󠄬󠅒󠅢󠄟󠄮
那怎么治疗呢?
如果你也是腰椎间盘突出患者:󠄐󠄹󠅀󠄪󠄢󠄡󠄦󠄞󠄧󠄣󠄞󠄢󠄡󠄦󠄞󠄡󠄡󠄣󠄬󠅒󠅢󠄟󠄮󠄐󠅅󠄹󠄴󠄪󠄾󠅟󠅤󠄐󠄼󠅟󠅗󠅙󠅞󠄬󠅒󠅢󠄟󠄮󠅄󠅙󠅝󠅕󠄪󠄡󠄧󠄦󠄡󠄨󠄦󠄠󠄩󠄨󠄤󠄬󠅒󠅢󠄟󠄮
推荐还是去正规医院治疗,去针灸科做一做针灸 推拿 或 理疗,这些都属于保守治疗,一般来说大部分人都会缓解症状,如果缓解了以后大家回去还是要经常锻炼和保护腰,锻炼腰背肌的力量(比如倒走,小飞燕等等),少弯腰,不要久坐久站,一般来说控制突出不要发展下去,问题就不大!
如果遇到症状加重不要拖,及时去医院就诊!越早治疗效果越好!󠄐󠄹󠅀󠄪󠄢󠄡󠄦󠄞󠄧󠄣󠄞󠄢󠄡󠄦󠄞󠄡󠄡󠄣󠄬󠅒󠅢󠄟󠄮󠄐󠅅󠄹󠄴󠄪󠄾󠅟󠅤󠄐󠄼󠅟󠅗󠅙󠅞󠄬󠅒󠅢󠄟󠄮󠅄󠅙󠅝󠅕󠄪󠄡󠄧󠄦󠄡󠄨󠄦󠄠󠄩󠄨󠄤󠄬󠅒󠅢󠄟󠄮

好了,我也要出去锻炼了,拜拜咯~
捐助名单
*e
l*u
x*y
参与讨论